top of page
矯正症例
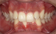
Before





After





30代 女性
治療期間
約1年9カ月
治療方法
マウスピース矯正単独による治療
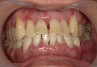
Before





After





10代 女性
治療期間
治療方法
ワイヤー矯正単独による治療
約6カ月
Before



After



20代 女性
治療期間
治療方法
マウスピース矯正単独による治療
約2年
Before
After










20代 男性
治療期間
約2年9カ月
治療方法
ワイヤー矯正後にマウスピース矯正による治療
Before
After






40代 男性
マウスピース矯正による治療
治療期間
約7カ月
治療方法
bottom of page

